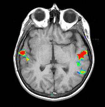
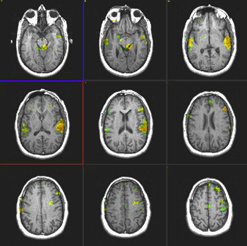
Activación auditiva verbal
Escuchar una historia de forma pasiva



Activación
Circunvolución supramarginal izquierda
Izquierda > Derecha Circunvoluciones de Heschl
Volver al principio
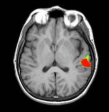
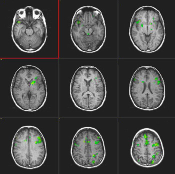
Activación auditiva no verbal
Escuchar música de forma pasiva
(Las mismas configuraciones técnicas)

Activación
Derecha > Circunvoluciones de Heschl izquierdas
Volver al principio
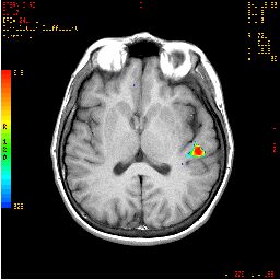
Fluidez fonológica
| Sujeto |
Mujer diestra de 37 años de edad |
| Paradigma |
ACTIVADO: Recordar palabras que comienzan con una letra dada
DESACTIVADO: Pensar en un cielo oscuro |
| Estadísticas |
| Método estadístico |
Valor P |
Puntuación Z |
| Coeficiente de correlación |
0,0001 |
N/C |
|
| Imágenes |
  |
| Activación |
Este paradigma produce como respuesta la activación de la cara superior de las áreas 37 de Broca y Brodmann. Aparece algo de activación en las áreas parietales parasagitales. El color en la fosa pterional izquierda se debe a la entrada de flujo vascular. |
Volver al principio
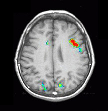
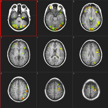
Fluidez semántica
| Sujeto |
Mujer diestra de 25 años de edad |
| Paradigma |
ACTIVADO: Recordar palabras dentro de una determinada categoría
DESACTIVADO: Pensar en un cielo oscuro |
| Estadísticas |
| Método estadístico |
Valor P |
Puntuación Z |
| Prueba T |
0,00005 |
4,2 |
|
| Imágenes |
 |
| Activación |
El hemisferio izquierdo muestra activación predominante. Se activaron las siguientes áreas: Área de Broca, porción posterior izquierda de las circunvoluciones temporales inferiores y medias (área 37 de Brodmann), parietal izquierdo y corteza premotora izquierda. Se observa una amplia activación en la cara inferior de los lóbulos occipitales. La activación principal en la derecha está ubicada en la cara inferior del lóbulo frontal (área 11 de Brodmann), un hallazgo observado constantemente en este paradigma. |
Volver al principio
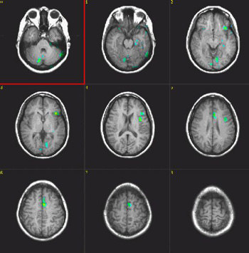
Fluidez de verbos
| Sujeto |
Mujer diestra de 24 años de edad |
| Paradigma |
ACTIVADO: Generar verbos relacionados con sustantivos (objetos)
DESACTIVADO: Contar la cantidad de letras que componen las palabras presentadas |
| Estadísticas |
| Método estadístico |
Valor P |
Puntuación Z |
| Prueba T |
0,0001 |
3,8 |
|
| Imágenes |
 |
| Activación |
Se muestra el área de Broca y el área motora suplementaria (AMS) izquierda. Aparece algo de activación en la formación hipocámpica izquierda y las áreas visuales. Esta última activación podría explicarse como el efecto de imaginar los objetos a los que se hizo referencia en la condición "ACTIVADO". También se produce activación en el cerebelo derecho y en la circunvolución temporal inferior izquierda.
|
Volver al principio
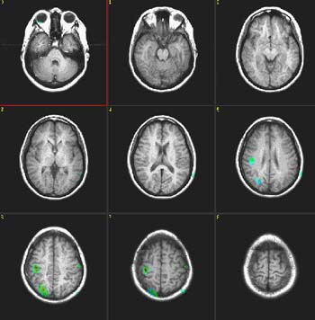
Habla automática
| Sujeto |
Mujer de 25 años de edad Voluntaria diestra |
| Paradigma |
ACTIVADO: Decir mentalmente el himno a la bandera
DESACTIVADO: Pensar en un cielo oscuro |
| Estadísticas |
| Método estadístico |
Valor P |
Puntuación Z |
| Prueba T |
0,0002 |
3,7 |
|
| Imágenes |
 |
| Activación |
Corteza motora oral y facial, más grande en la derecha. Lóbulo parietal derecho. No se observa activación en el área de Broca. |
Volver al principio
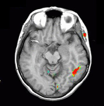
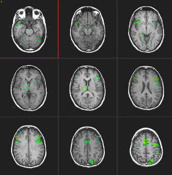
Comprensión verbal
| Sujeto |
Voluntario de sexo masculino diestro de 32 años de edad |
| Paradigma |
ACTIVADO: Escuchar una historia
DESACTIVADO: Concentrarse en el ruido de fondo |
| Estadísticas |
| Método estadístico |
Valor P |
Puntuación Z |
| Prueba T |
0,0001 |
3,8 |
|
| Imágenes |
 |
| Activación |
La activación del hemisferio izquierdo es claramente mayor. La activación se encuentra en las siguientes áreas: Área de Broca (imagen 5), área de Wernicke (imágenes 4 y 5), circunvolución supramarginal izquierda (área de asociación heteromodal, imagen 5), corteza motora y premotora izquierda. Las áreas auditivas primarias también están activadas, predominantemente en el lado izquierdo. |
Estudios en hablantes bilingües tardíos
| Sujeto |
Mujer diestra de 34 años de edad Lengua materna: Español
|
| Paradigma |
Tipo: Tarea de fluidez verbal
ACTIVADO: Recordar verbos relacionados con los sustantivos presentados
DESACTIVADO Deletrear las palabras proporcionadas |
| Estadísticas |
| Método estadístico |
Valor P |
Puntuación Z |
| Prueba T |
0,0001 |
3,8 |
|
| Imágenes |
Español

|
Inglés

|
(Hacer clic en las imágenes para agrandarlas)
|
| Activación |
Se observa una activación en el área de Broca en ambos idiomas. La activación talámica derecha se observa solo en el segundo idioma. Se observa también una mayor activación de la circunvolución frontal inferior derecha en el segundo idioma que en la lengua materna. El área motora suplementaria es más pronunciada en la derecha en ambos idiomas. |
Volver al principio